团队擅长的高安全性和高性能以及对大型系统的驾驭能力,,正是数字货币交易系统所需要的。。。。提供基于区块链技术的软件项目研发及应用。。。数字货币交易平台开发服务,,限海外。。。
已于青岛2024年啤酒节首次使用。。通过实时视频对人流进行识别、、区域范围内排队人数进行识别,,,,以及上下车人数进行识别,,,,用于大调度和实时调度提供辅助决策支持。。。。
利用AI视觉技术实现生产环境下疑似违规行为的识别告警,,提供通用场景算法以及专用需求算法的智能分析。。。
已成功应用于公交集团,,,并成为省市级大数据应用典范,,,通过AI算法,,结合调度、、区间时段电价、、、以及电池性能生命周期,,,智能安排车辆充电时间、、、对应充电枪以及充电电量,,,在满足业务需求的同时,,达到电费最省。。。。
已应用于发票、、、票据、、血压、、、水电燃气等仪表数据的数字、、字母、、中文、、日文的OCR识别。。
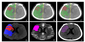
已应用于西医医疗设备医疗诊断和中医诊断,,为诊疗提供辅助决策支持。。。。